Löschen, wenn es brennt
Der Lichen sclerosus ist eine entzündliche Hauterkrankung, die vor allem die Anogenitalregion betrifft. Die Manifestationen sind vielgestaltig, Frauen sind häufiger betroffen als Männer.

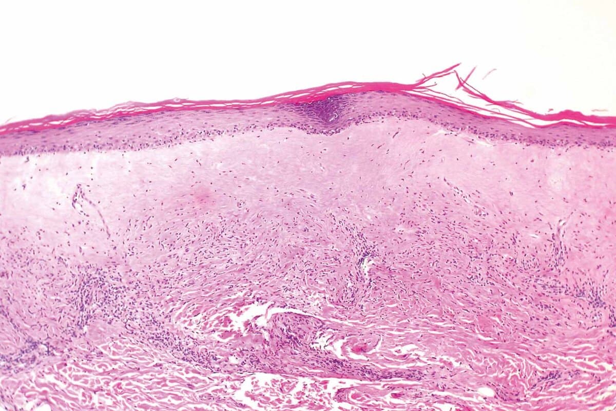
wikimedia/Ed Uthman
Histologisches Präparat eines Lichen sclerosus (atrophische Form).
Juckreiz und brennende Schmerzen sind die typischen Beschwerden beim Lichen sclerosus (LS). Die Erkrankung kann Geschlechtsverkehr unmöglich machen und die Harnentleerung erschweren, aber auch asymptomatisch verlaufen. Mädchen entwickeln wegen der schmerzhaften Defäkation eventuell eine Obstipation.
Referenzen
- lKirtschig G et al. J Eur Acad Dermatol Venereol 2024; doi: 10.11112023/jdv.20082